产品中心
Products
免疫组织化学(IHC)
奥林匹斯之门 pp电子奥林匹斯之门突变及甲基化检测
荧光原位杂交(FISH)
原位杂交(ISH)
免疫荧光(IF)
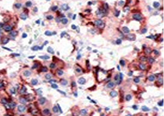
PRL 鼠抗人 PRL 抗体试剂(免疫组织化学)
浏览次数:1673 发布时间:2019-12-17
| 沪闵械备20180147号 | ||
| 克隆号:SPM108 | 种属:鼠 | 适用染色系统:GTvisionTM |
| 预处理:高pH热修复 | 阳性部位:细胞浆 | 阳性对照:胎盘/垂体瘤 |
| 简介:PRL(Prolactin,催乳素)是由垂体前叶嗜酸性细胞分泌的一种激素,可促进乳腺发育和乳汁分泌。该抗体主要用于标记垂体催乳素细胞及其肿瘤,有助于垂体肿瘤功能性分类的研究。 | ||
![]() | ||
| 垂体瘤石蜡切片,用 PRL(GT2161)染色,细胞浆阳性,DAB 显色。 | ||
| 货号 | GT216102 | GT216107 | GT216129 |
| 规格 | 2.0ml | 7.0ml | 0.2ml浓缩液 |


